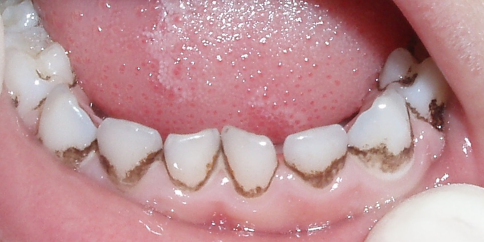
Темный налет на зубах
Как от.. чая. Равномерно на большинстве зубов. С внешней стороны стирается при активной чистке, с внутренней сложнее.
Грешила на пластинки, но мы их около месяца уже не носим..
Может, от витаминов?..
Про чай не думаю. Хотя.. я же не знаю, что им там в школе дают на завтрак..((
Понятное дело, что к стоматологу пойдем, но, может, кто-то сталкивался с таким?
зубы коренные. 8.5 ребенку

Моему сыну немного меньше, 6,5 лет. Такой налет образуется достаточно регулярно. Вожу его на чистку раз в 6-7 месяцев. Стоматолог говорит, что это может быть связано с проблемами носоглотки или с ЖКТ. У сына действительно проблемы с перевариванием пищи. Единственный плюс, под таким налетом не образуется кариес, как меня уверяли)

какие-то анализы вы сдавали?
с какой периодичностью появляется налет? у нас последние пару недель только и делаю, что счищаю. наверное, раз в 3-4 дня замечаю..
не смогла в инете похожую фотку налета найти..

Может, мы про разные виды налета? У сына он твердый, обычной щеткой не счищается. Анализы сдавали, но не в связи с налетом. У сына атопический дерматит с детства, вот и сдавали массу всего.

налет ближе к деснам, сам зуб белый.. у ребянка же практически однородный серый налет по "бороздкам" зуба вертикально..
и счищается пока.. хотя, может, это просто начальная стадия?..

У ребенка с фото полно мягкого зубного налета вдоль десны, поэтому и темного налета вдоль десны нет, он просто не может "осесть" на зуб.

Стоматолог на темноватый налет на зубах у дочки, тоже 8,5 лет, сказал что это от проблем с ЖКТ, как только уберутся проблемы, так и налет пропадет, просто чистить его бесполезно, будет образовываться снова. Гастроэнтеролог по результатам узи-анализов поставил ферментную недостаточность, сказал что может быть возрастное. Так что я тоже в недоумении по поводу налета этого...

у вас налет счищается щеткой? я могу счистить до практически белых зубов. но он через несколько дней проявляется..
к гастроэнтерологу, значит..
еще, я вспомнила, некоторое время назад горло болело только по утрам.. возможно, причина единая.
общие витамины даете?
при ферментной недостаточности только спец.питание или препараты тоже назначают?

Ой, нет, у нас совсем не такой как на фотках. У нас зубы как бы желтоватые, но цвет однородный по всему зубу, таких темных пятен как на фотках выше нет, ТТТ. Счищается не до белых совсем, просто светлее становятся... Ну или я просто не терла до такой степени :-o вот у стоматолога как раз и хотела посоветоваться, чем можно убрать его. А она мне про жкт выдала..
Витамины пьем курсами, для ферментов назначили на 2 недели креон по схеме, пока больше ничего, диета как обычно, ничего жарено-солено-остро-вредного.

у нас тоже не такой налет, как выложили пример.. цвет именно однородный, как вы пишите.. ощущение, что это следы от чая.. или от черники..
